retour

Neurones


Je sais très bien que vous êtes comme ça,
du genre à vous laisser attendrir.
Oh qu'il est mignon.



Bon, certes.

Mais ne perdons pas de vue l'essentiel.
Tout comme vous,
c'est un tube digestif
surmonté d'une boîte crânienne.

Et il n'est pas doté de capacités surnaturelles,
qui feraient que comme ça, par enchantement,
il acquerrait de nouvelles compétences.
Pas du tout.
Vous l'avez déjà bien compris,
c'est étroitement lié à ce que vous lui apprenez.
Mais vous savez quoi ?
Même si vous y mettez toute la bonne volonté du monde,
et que vous pensez être un super pédagogue,
quand vous lui dites :
ça, c'est une voiture
ça, c'est un ballon
ça, c'est rouge
ça, ça sent mauvais,
il se trouve a peu près dans la situation suivante :


En effet, mettez-vous à sa place.
Des bidules défilent devant vos yeux,
et quelqu'un qui semble tenir à vous être familier
émet des sons plus ou moins gracieux
tout en suggérant qu'il y a un rapport avec les bidules.
Sachant qu'un dictionnaire bilingue
ne vous serait d'aucun secours
puisque vous ne parlez aucune langue.

En outre, le fait même que le concept de voiture
soit un concept remarquable méritant d'être nommé,
tout comme le concept de jaune
n'a rien d'évident a priori.

Dans les premières semaines après sa naissance,
l'enfant voit a peu près ça :



et il entend
king prout bah oué ga hein zo meuh

Puis il commence à voir un peu plus net



mais tout reste abstrait,
arbitraire
et peut-être même un peu flippant ;
un déluge de stimuli dépourvus de sens.

Un peu comme si vous ne voyiez que
des points jetés au hasard.



Mais progressivement,
à moins d'être vraiment légumineux,
on finit bien par remarquer des motifs,



dans ce qu'on entend aussi d'ailleurs :


klong hé prout ga klong meuh klong pouët


Et ce qui se répète
mérite d'être remarqué,
identifié, associé.
Le tout est de faire les bonnes associations.
Mais comment un tel prodige est-il possible ?

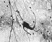
Ouvrons sa boîte crânienne.
Que voit-on ?
Une substance spongieuse peu ragoûtante
(enfin, normalement).



Zoomons.



Oui, c'est un beau foutoir.
Plus précisément un enchevêtrement de neurones
Et depuis le début,
ce sont bien ces neurones
qui ont permis d'arriver à cette étape,
à savoir l'identification de "patterns", ou motifs.

Mais au fait,
c'est quoi un neurone ?
C'est un machin un peu filandreux qui a
des entrées
et une sortie (qui peut être dupliquée)



Quand on a la chance d'avoir plusieurs neurones,
on peut les organiser en réseau.


Ce qu'un neurone fait est assez simple :
il calcule une sorte de somme sur les entrées
pour "décider" quelle sera sa sortie,
selon que cette somme est
en-dessus, ou en-dessous d'un seuil.


En fait,
c'est un peu plus compliqué que ça
mais c'est pas super important ici,
il faut simplement savoir que toutes les entrées ne sont pas
traitées sur un même pied d'égalité dans cette somme.

De plus,
ces "traitements de faveur" évoluent :
si deux neurones sont activés en même temps très souvent


ils auront tendance à renforcer leurs connexions réciproques



et ces connexions renforcées subsisteront,
même si les neurones ne sont plus activés,



ce qui constitue une forme primaire de mémoire.
Par la suite,
s'il arrive que le premier neurone soit activé,
le second le sera aussi

alors que ça n'était pas le cas avant le renforcement des connexions
(si si, remontez un peu dans la page).

Et donc,
si chaque fois que vous entendez prout
il se trouve que vous voyez une étoile,
les neurones correspondants vont renforcer les connexions qui les lient.
C'est ça, l'apprentissage.

Bon, je dis pas qu'une fois cet apprentissage terminé,
chaque fois que vous entendrez prout,
vous verrez réellement une étoile
(à moins d'être une sorte de synesthète),
mais vous la visualiserez probablement,
c'est-à-dire que les images mentales et sonores
seront associées.

Je sais pas ce que vous en pensez,
mais à partir de mécanismes localement très primitifs,
expliquer l'émergence d'un processus global
d'une extraordinaire complexité,
c'est quand même assez top,
même si les recherches dans le domaine
des neurones artificiels ont connu une certaine
baisse d'enthousiasme ces derniers temps.
C'est un peu comme expliquer l'évolution des espèces
au beau milieu du XIXème siècle
en se basant uniquement sur
les règles simples de la sélection naturelle.

Toutefois, toutefois,
si vous voulez mon opinion,
faut pas trop en demander à ces petits neurones :
au tout début, c'est laborieux
surtout si vous ne guidez pas l'apprentissage.

C'est pourquoi, je préconise
d'accompagner toute interaction avec un enfant
de la plus extrême précaution
pour l'aider à s'extraire de l'enfer sémantique
dans lequel il est jeté avec violence.

Il convient de ne plus faire varier les paramètres
d'entrée de son réseau neuronal qu'avec parcimonie.

Je m'explique.

Plutôt que de vous balader dans la rue
et d'égrainer d'une voie enjouée :
voiture rouge
camion poubelle
grosse dame,
il vaut beaucoup mieux
le placer devant la matrice suivante
dès le plus jeune âge



et lui dire d'une voix neutre
en lui désignant l'objet correspondant :
ballon rouge
ballon bleu
ballon vert
ballon jaune
étoile rouge
etc.

Après une petite centaine de cycles
(en le nourrissant en cas de stricte nécessité),
vous lui demandez simplement
où est le cube jaune ?

Après assimilation complète
de cette première matrice
et seulement après,
ajoutez une dimension :



petit ballon rouge
gros ballon rouge
petit ballon bleu
etc.

Et bien sûr,
tout ceci avec une implacable bienveillance.





retour